Teeth Bonding
Etobicoke
Cosmetic Dental Bonding
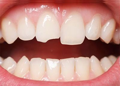
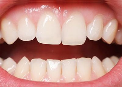
Cosmetic dental bonding is an excellent solution for anyone looking to enhance their smile quickly and affordably. This simple yet effective procedure uses composite bonding to seamlessly repair gaps, broken or chipped teeth, and other minor imperfections. The process involves applying a durable, tooth-colored resin directly to your teeth, which is then shaped and hardened to perfection, blending invisibly with your natural teeth. Ideal for those considering a smile makeover, dental bonding not only improves your appearance but also boosts confidence with results that look and feel natural. Choose cosmetic dental bonding today and take the first step towards a more radiant and confident smile, effortlessly achieved in just one visit!
FEATURED TREATMENT: TEETH BONDING

Benefits of Dental Bonding
Dental bonding offers a quick, cost-effective solution for enhancing your smile. It corrects imperfections such as chips, gaps, stains, etc, with significant aesthetic improvements.
Cost Effective
Less expensive than veneers and crowns.
Speedy Proocedure
Often completed in one dental visit.
Minimal Tooth Enamel Removal
Preserves more natural tooth structure.
Versatile
Corrects chips, gaps, and stains effectively.
Aesthetic Enhancement
Improves smile appearance quickly and beautifully.
Dental Bonding V/S Dental Veneers
Bonding
- Minimal tooth preparation required
- Expected to last 3-10yrs
- Relatively more affordable
- Often completed in one visit
- Can fix a variety of issues
- Least impact on natural tooth structure
Veneers
- Tooth preparation required
- Expected to last 10-15yrs
- Typically more expensive
- Require more than one visit
- Relatively less versatile
- Relatively more invasive to natural tooth structure
Looking for something else? Veneers?
Book A FREE Consultation Today!
You deserve a magical smile!
Book a FREE consultation now to get started

How much does it cost?
We offer affordable monthly payment plans.
NO down payment, ZERO interest, $249/Month.
Tooth Bonding Procedure
01.
Color Matching
The dentist begins by selecting a composite resin color that closely matches the natural shade of your teeth, ensuring that the bonding blends in seamlessly.
02.
Tooth Preparation
The surface of the tooth is prepared to receive the bonding material. This usually involves roughening the tooth surface with a gentle phosphoric acid solution, which helps the bonding material adhere more effectively.
03.
Teeth Bonding
After preparing the tooth, a bonding agent is applied to enhance the adherence of the composite resin. The resin is then molded and sculpted directly onto the tooth, skillfully covering any imperfections such as chips, cracks, or gaps.
04.
Curing
Once the resin is properly shaped, the dentist uses a special light, typically an ultraviolet or laser light, to harden (cure) the material. This process solidifies the resin, making it a strong part of the tooth structure.
05.
Finishing & Evaluation
After curing the resin, the dentist trims and shapes the bonded tooth, followed by polishing to match the surrounding teeth for a natural appearance. The procedure concludes with a bite check to ensure the new structure functions correctly with your other teeth.
No Insurance? We’ve got you covered.
My team and I offer interest-free financing and low monthly payments. Regardless of your financial situation, we are determined to find a payment plan that’s suitable for you.
Types Of Dental Bonding
Direct Composite Bonding
Directly applies composite resin to teeth to repair chips, cracks, or gaps in a single visit.
Adhesive Bonding
Involves attaching dental restorations like crowns, veneers, or bridges using a special adhesive and high-intensity curing light.
Indirect Composite Bonding
Composite materials are crafted in a lab and bonded to teeth during a subsequent appointment for more complex restorations.
Next Steps

Free
Consultation.
Your treatment begins with a free dental veneer consultation so that we can learn more about your medical history and current dental condition.

Treatment
Plan.
As part of your consultation for dental veneers, we will review your submission and any photos that you include in order to recommend a custom treatment plan tailored to your needs and finances.

Your
Appointment.
Once we agree on your treatment and financing plan, we will schedule your first appointment at the clinic and guide you through the rest of the process.
Latest Reviews
We strive to provide excellence through every single smile and care about the outcome of your treatment. As a Dentist, I want you to leave not only looking great but feeling confident too.
Read some reviews from our happy patients : )
